Aktuelles

Um unsere News immer aktuell gestalten zu können, bitte wir alle Black Fellows Besitzer uns oft Bilder und Neuigkeiten zuzusenden.
Vielen Dank!

Hinweis: Durch Anklicken der Bilder werden sie vergrößert.

Unser R-Wurf ist da. Seit dem 28.10.25 bevölkern 2 sehr kräftige Rüden und 3 stramme Hündinnen unsere Wurfkiste. 

 

26.09.2025 - Mutig

Quax18a
Quax

Während des Urlaubes in der Schweiz marschierte Quax mit Herrchen ganz ruhig über eine Hängebrücke mit 30 m Blick in die Tiefe. Das muß ein Hund erstmal mitmachen Hut ab!!

 

23.09.2025 - Mal nur Queen Bee

Queenbee14a
Queen Bee of the Black Fellows

Die werdende Mama steckt wie immer voller Tatendrang und überlegt sicher gerade, welchen Blödsinn sie als nächstes anstellen kann.

 

21.09.2025 - Urlaub

Quax16
Quax of the Black Fellows

Wandern in der Schweiz , da muss man mal die Pfoten kühlen! Wir wünschen Quax und seiner Familie einen schönen Urlaub

 

20.09.2025 - Es gibt nichts Schöneres

PrinceM15a
Prince Mylo of the Black Fellows

Nichts auf dieser Welt ist für einen Gordon Setter so schön, wie das Kuscheln mit Frauchen, findet zumindest Prince Mylo. 

 

19.09.2025 - Fertig

NoElseQueen07a
Nothing Else of the Black Fellows (genannt Else) und           Tochter Queen Bee of the Black Fellows 

Nach einem schönem Spaziergang dürfen unseren beiden Mädels auch mal die Zungen aus dem Hals hängen

 

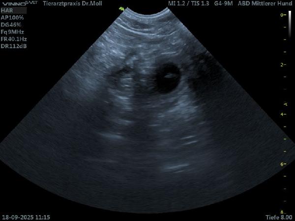
18.09.2025 - Hurra Queen Bee ist trächtig

R-Wurf04
Das erste Bild vom R-Wurf

 

Heute waren Queen Bee und ich zum Ultraschall in Netphen. Voller Spannung sind wir hingefahren. Eigentlich war der 21. Tag einer eventuellen Trächtigkeit ja noch ein bisschen früh, um ein Ultraschall zu machen, aber wir wollten ja noch nach Ostfriesland. Dr. Moll gab dich viel Mühe und dann konnten wir die beiden ersten Fruchtblasen erkennen. Meine Freude war riesig, ich glaube Queen Bee war es in dem Moment egal. Somit rechnen wir nun um den 30. Oktober mit kleinen Black Fellows.

 

14.09.2025 - Pause

OurBaron29a
Our Baron of the Black Fellows

Bei dem Gesichtsausdruck fragt man sich an was Baron wohl denkt, oder ob er was hört oder sieht.....

 

04.09.2025 - Umschau

Neson31a
Nelson of the Black Fellows

Immer wieder schön ist es, wenn Nelson seine Runde läuft. Da darf auch mal eine kleine Pause sein, in der man das wunderschöne Siegerland betrachtet. Ja, auch ein Gordon Setter Rüde mag dabei keinen nassen oder kalten  Popes bekommen!!! So sind sie - unsere Gordon Setter

 

02.09.2025 - Cabrio fahren

Nelly33a
Nelly of the Black Fellows

Auch wenn man eigentlich schmunzeln muß, solch eine Brille ist für Hunde in einem Cabrio unbezahlbar. Sie schützt vor übeln Bindehautentzündungen. Wir sind sehr froh, daß Nellys Familie darauf achten.

 

Archiv: